White fillings
Before After
- Composite – Large gaps because of a missing tooth and a peg lateral
- Composite – Gaps closed with white composite resin in about an hour
- Composite – Clear spaces between the upper and lower lateral incisors
- Composite – Beautiful smile with the lateral incisors lengthened
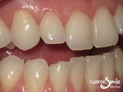
- Composite – Closeup showing the short upper right lateral incisor and the chip on the lower right lateral incisor
- Composite – Composite resin modifications made to create a very natural smile















