- About
- What We Do
- What We Help With
- Services
- Before & After
- Cosmetic Teeth/Gum Solutions
- Blog
- Contact Us
- Book Now
Invisalign in Sydney
Before and After
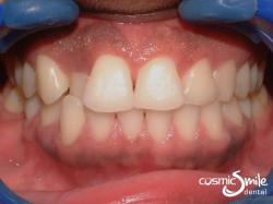
Before

Invisalign – Upper right lateral incisor in crossbite
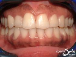
After

Invisalign – Crossbite corrected with Invisalign
Before

Invisalign – Lateral incisor misaligned
After

Invisalign – Alignment corrected and wire retainer in place
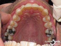
Before

Invisalign – Front teeth retroclined – top view
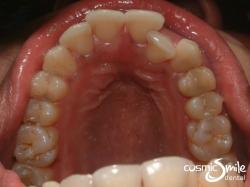
After

Invisalign – Front teeth straightened – top view

Specialised Dental Services
Menu
Preventive & Elective Dental
Menu
© 2021 Cosmic Smile Pty Ltd – 02 9904 2880
info@cosmicsmile.com.au
Dentist Neutral Bay Sitemap
Address: A: 212/40 Yeo St., Neutral Bay NSW 2089,
Australia
P: 02 9904 2880
