Internal Bleaching / Microabrasion
Before After
- Enamel microabasion – Before – Centrals with dark brown enamel staining
- Enamel microabasion – After – Centrals with dark brown enamel staining removed
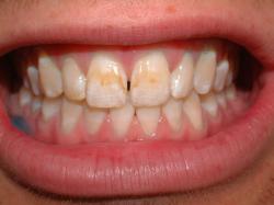
- Enamel microabasion – Before – Upper front teeth with enamel staining
- Enamel microabasion – After – Staining removed
- Enamel microabasion – Before – Front teeth stained
- Enamel microabasion – Before – Stains removed















