Implants
Before After
- Dental Implant – Before – Missing front right central incisor
- Dental Implant – After – Restored central incisor and lumineers on front teeth
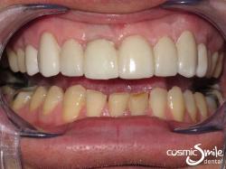
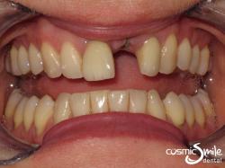
- Dental Implant – Before – Front left central missing
- Dental Implant – After – Front left central restored
- Dental Implant – Before – Without dentures
- Dental Implant – After – Smile with implants in place















